Intarsi - Studio Dentistico Castiglioni Manici

Vai ai contenuti

Menu principale:

Prestazioni > Riabilitazioni protesiche



Riabilitazioni Protesiche - Intarsi

 


Ricostruzioni realizzate in laboratorio e cementate nella cavità precedentemente preparata in studio. Possono essere eseguiti in composito, in ceramica e, più raramente, in oro.

 
 
 




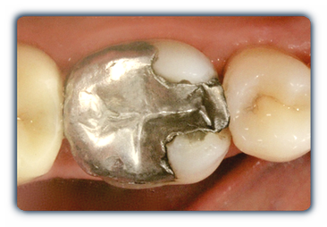
Intarsio in oro

 
 
 
 
 




Ricostruzioni in amalgama
(prima)




Intarsio in composito
(dopo)

 
 
Torna ai contenuti | Torna al menu